保険外診療の修復治療および補綴治療一覧について
| メタルボンドクラウン |
薄く作った金属部分に「せと」の材料を盛り上げた白い歯です。 |
|---|---|
| オールセラミッククラウン |
ジルコニアという強化セラミックで内側の部分を作製し、その上に陶器の材料を盛り上げた白い歯で、差し歯としては現在最も優れた歯です。金属を全く使用しないので、本当の歯のように自然な色調が再現できます。金属アレルギーの方にもこれなら問題なく使用できます。 |
| ハイブリッドセラミックスクラウン |
セラミックとプラスティックを混ぜて強度を十分に持たせることを可能にした歯です。 金額もポーセレンより安価で提供できます。しかし、4~5年経過すると黄ばむなどの色調の変化が現れます。 |
| ポーセレンインレー |
金属を用いないで作成されるセラミックの詰めものです。長年の使用でも全く変色しません。 |
| ハイブリッドセラミックスインレー |
セラミックとプラスティックを混ぜて強度を十分に持たせることを可能にした歯の詰めものです。金額もポーセレンより安価で提供できます。しかし、4~5年経過すると黄ばむなどの色調の変化が現れます。 |
| ゴールドインレー |
生体に優しい金合金を用いた詰めものです。 また、天然歯に近い硬度のため、長期の使用でも全く問題ありません。 |
インプラント治療について
ムシ歯や歯周病などで、自分の歯を失った場合、失った歯を取り戻す技術がインプラントや義歯です。特にインプラントは適切な治療を行えば、本物の歯と変わらない噛み心地や咀嚼機能を取り戻すことが出来ます。
インプラントの利点と欠点
インプラントは取り外しの入れ歯に比べて異物感が無く、審美性に優れています。ブリッジを製作するための隣の歯を削る必要がありません。しかし、術後の管理を含めて信頼できる技術を持った歯科医師が行う事が求められます。また、保険適用ではないため、すべて自費となることなど欠点もあります。
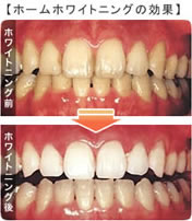
ホワイトニング
ホワイトニングは自然の歯の白さにこだわった治療法で、歯を削らずに白くするテクニックです。当院では、ホームホワイトニングを実施しており、家で30分から1時間を10日~2週間行います。又、個人差がありますが、2~5年で後戻りする可能性がありますので、白さを保つためには定期的な検診を是非受けてください。副作用についてはホワイトニング剤の主成分は消毒剤としてよく使われている過酸化水素水です。問題はありません。人によっては知覚過敏が出ることがありますが、ほとんどの場合すぐ治まります。
